°üÀý°æ(°üÀý ³»½Ã°æ) ¼ö¼ú
°üÀý³»½Ã°æ ¼ö¼úÀº ¹®Á¦°¡ »ý±ä °üÀý ºÎÀ§¿¡ 1cm ¹Ì¸¸ÀÇ ±¸¸ÛÀ» ³»°í Ä«¸Þ¶ó°¡ ´Þ¸° °üÀý³»½Ã°æÀ» »ðÀÔÇØ °üÀý »óŸ¦ ¸ð´ÏÅÍ·Î º¸¸é¼ °üÀý ¼ÓÀ» Á÷Á¢ °üÂûÇϰí ÃËÁö ÇØº¸¾Æ º´º¯À» Ä¡·áÇÏ´Â ¼ö¼úÀÔ´Ï´Ù. ¸ð´ÏÅ͸¦ ÅëÇØ °üÀý ¼ÓÀ» È®´ëÇØ º¼ ¼ö Àֱ⠶§¹®¿¡ ´õ¿í Á¤È®ÇÑ Ä¡·á°¡ °¡´ÉÇϸç MRI °°Àº Ư¼öÃÔ¿µÀ¸·Îµµ ÆÄ¾ÇÇÏÁö ¸øÇÑ Áúȯ »óűîÁö Á¤È®È÷ Áø´ÜÇØ ¼ö¼úÇÒ ¼ö ÀÖ½À´Ï´Ù. ¼ö¼ú½Ã°£ÀÌ Âª°í Àý°³ ºÎÀ§°¡ ÀÛ´Ù º¸´Ï °¨¿° °°Àº ¼ö¼ú ÈÄÀ¯Áõ°ú ¼ö¼ú ÈÄÀÇ ÅëÁõÀÌ ÀûÀ¸¸ç, ÀÔ¿ø±â°£ ´ÜÃàÀ¸·Î ºñ¿ëµµ ÁÙÀÏ ¼ö ÀÖ´Â °Ô Å« ÀåÁ¡ÀÔ´Ï´Ù. ƯÈ÷ ÈäÅͰ¡ °ÅÀÇ ³²Áö ¾Ê¾Æ ¹Ì¿ëÀû Ãø¸é¿¡¼ ÀþÀº »ç¶÷µé¿¡°Ô °¢±¤¹Þ°í ÀÖ½À´Ï´Ù.
ÀåÁ¡
°üÀý³»½Ã°æ Àû¿ë ºÎÀ§
¾î±ú°üÀý
¾î±ú°üÀýÀº ½Åü °üÀý Áß °¡Àå ¿òÁ÷ÀÓÀÌ Å©°í ¸¹Àº °üÀýÀÔ´Ï´Ù. ±×¸¸Å ±¸Á¶°¡ º¹ÀâÇÏ°Ô ÀÌ·ç¾îÁ® Àֱ⠶§¹®¿¡ ´Ù¾çÇÑ ÁúȯÀÌ ¹ß»ýÇÕ´Ï´Ù. ¶ÇÇÑ Á¤È®ÇÑ ÆÇÁ¤ÀÌ ¾î·Æ´Ù´Â Ư¡ÀÌ ÀÖ½À´Ï´Ù.
¹«¸°üÀý
¹«¸°üÀýÀº °üÀý°æÀ¸·Î °¡´ÉÇÑ ½Ã¼úÀÌ 95%¿¡ À̸¦ ¸¸Å ±× Àû¿ë¹üÀ§°¡ °¡Àå ±¤¹üÀ§ÇÕ´Ï´Ù. ¹«¸°üÀý ¾È¿¡´Â °üÀý¿¬°ñ, 2°³ÀÇ ¹Ý¿ù»ó ¿¬°ñ ±×¸®°í ¹«¸ÀÇ ¾ÈÁ¤¼ºÀ» À§ÇÏ¿© Àü¹æ ¹× ÈÄ¹æ ½ÊÀÚÀδ밡 ÀÖÀ¸¸ç, °üÀýÀ» ½Î°í Àִ Ȱ¾×¸· µîÀÌ Á¸ÀçÇϰí ÀÖ½À´Ï´Ù. ÀÌ·¯ÇÑ ±¸Á¶¹°¿¡ ÀÌ»óÀÌ ÀÖÀ» ½Ã °üÀý³»½Ã°æ ¼ö¼úÀº ¸Å¿ì È¿°úÀûÀÎ ½Ã¼úÀÌ µÉ ¼ö ÀÖ½À´Ï´Ù.

¹ß¸ñ°üÀý
°ú°Å¿¡ ¹ß¸ñÀÌ »á ÈÄ Ä§À» ¸Â°Å³ª, ºÎ¸ñ µîÀ¸·Î °íÁ¤À» ÇÑ ÈÄ¿¡µµ ¹Ýº¹ÀûÀ¸·Î ¹ß¸ñÀÌ »ß°Å³ª Áö¼ÓÀûÀÎ ÅëÁõÀÌ ÀÖÀ» ½Ã, °üÀý³»½Ã°æÀ» ½ÃÇàÇÏ¿© º¸¸é °üÀý ³»ÀÇ ¿¬°ñ ¼Õ»óÀÌ Àְųª °üÀý¸·À̳ª Ȱ¾×¸· µîÀÇ °üÀý³»¿¡ ³¢¿© ÀÖ´Â °æ¿ì°¡ Àִµ¥ ÀÌ·± °æ¿ì °üÀý³»½Ã°æÀ» ÀÌ¿ëÇϸé Á¤È®ÇÑ Áø´Ü ¹× Ä¡·á°¡ °¡´ÉÇÏ¿© ÅëÁõÀ» °¨¼Ò½Ãų ¼ö ÀÖ½À´Ï´Ù.
Àΰø °üÀý ¼ö¼ú
Àΰø°üÀý¼ö¼úÀ̶õ °üÀý¿°À̳ª ƯÁ¤ Áúȯ ¶Ç´Â ¿Ü»ó¿¡ ÀÇÇØ ´õ ÀÌ»ó ±â´ÉÀ» ³ªÅ¸³»Áö ¸øÇÏ´Â Áï ÆÄ±«µÈ °üÀýÀÇ ÀϺκÐÀ» Á¦°ÅÇϰí ÀÎü°øÇÐÀûÀ¸·Î Á¦ÀÛµÈ ±Ý¼Ó °üÀý°ú ÇÕ¼º¼öÁö·Î µÈ º£¾î¸µÀ» »ðÀÔÇØ¼ °üÀýÀÇ ¿îµ¿ ±â´ÉÀ» ȸº¹½ÃÄÑÁÖ¸é¼ ÅëÁõÀ» ¾ø¾Ö´Â ¼ö¼úÀ» ¸»ÇÕ´Ï´Ù. ÇÏÁö¸¸ ¼Õ»óµÈ °üÀýÀ» Àΰø°üÀý·Î ´Ü¼øÈ÷ ±³Ã¼ÇÏ´Â °Í¿¡ ±×Ä¡Áö ¾Ê°í ½ÉÇÏ°Ô º¯ÇüµÇ¾î »óÇÑ °üÀý ÁÖÀ§ÀÇ Àδë, °üÀý¸· µî ¿¬ºÎÁ¶Á÷ ±ÕÇü ¸ÂÃß¾î ¼¼¹ÐÇÏ°Ô Ä¡·áÇØ¾ß ¿Ï¼ºµµ ³ôÀº ¼ö¼ú °á°ú¸¦ ±â´ëÇÒ ¼ö ÀÖ½À´Ï´Ù. Àΰø°üÀý¼ö¼úÀÇ ¸ñÀûÀº °üÀý ºÎÀ§ÀÇ ÅëÁõ ÇØ¼Ò¿Í ¿îµ¿ ¹üÀ§¸¦ Çâ»ó½ÃŰ´Â °ÍÀÔ´Ï´Ù.Àΰø°üÀý¼ö¼ú Àû¿ë ºÎÀ§
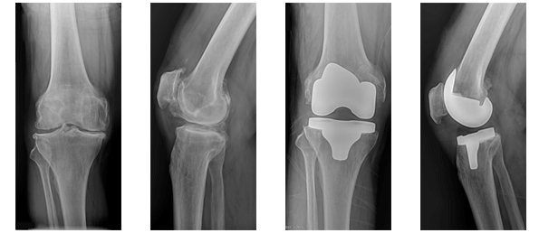
¹«¸ °üÀý(½½°üÀý)
°üÀýÀÌ °üÀý¿°À̳ª ƯÁ¤ Áúȯ ¶Ç´Â ¿Ü»ó µîÀÇ ¿øÀÎÀ¸·Î °üÀý ±â´ÉÀ» ÀÒ°Ô µÇ¸é Àΰø ±Ý¼Ó¹°°ú ÇÃ¶ó½ºÆ½À¸·Î ¸¸µé¾îÁø Àΰø°üÀýÀ» »ðÀÔÇÏ¿© °üÀýÀÇ ¿îµ¿±â´ÉÀ» ȸº¹½ÃŰ¸é¼ ÅëÁõÀ» ¾ø¾Ö°í µ¿½Ã¿¡ º¯ÇüÀ» ±³Á¤ÇÏ¿© ÀÏ»óÀûÀÎ »ýȰÀÌ °¡´ÉÇÏ°Ô ÇÏ´Â ¼ö¼úÀÔ´Ï´Ù.
ÅðÇ༺ °ñ °üÀý¿°ÀÇ °æ¿ì ¼ö¼úÀ» ÇØ¾ßÇÏ´Â Áõ»ó
¾ûµ¢ÀÌ °üÀý(°í°üÀý)
°í°üÀýÀº üÁßÀÌ ¸ö¿¡¼ ÇÏü·Î Àü´ÞµÇ´Â ¸Å¿ì Áß¿äÇÑ °üÀý·Î ¿ì¸® ¸ö¿¡¼ µÎ ¹øÂ°·Î Å« °üÀýÀÔ´Ï´Ù. °üÀý¸éÀ» ÀÌ·ç´Â ´ëÅð°ñµÎ¸é°ú °ñ¹ÝÀÇ ºñ±¸¸é¿¡´Â ¿¬°ñÀÌ µ¤¿©ÀÖ¾î Ãæ°Ý Èí¼ö¿Í ÇÔ²² °üÀýÀÌ ºÎµå·´°Ô ¿òÁ÷ÀÏ ¼ö ÀÖ°Ô ÇÕ´Ï´Ù. ¶ÇÇÑ °üÀýÀ» ½Î°í ÀÖ´Â °üÀý¸·À̳ª ÀÎ´ë ±ÙÀ°µéÀÌ °í°üÀýÀ» ¾ÈÁ¤µÇ°Ô ÁöÁöÇϰí ÀÖ½À´Ï´Ù. µû¶ó¼ Á¤»óÀûÀÎ °üÀýÀº °È°Å³ª ±¸ºÎ¸®°Å³ª µ¹¸®°Å³ª ¸¹Àº üÁßÀÌ ºÎ°úµÇ¾îµµ ÅëÁõ ¾øÀÌ ¿øÈ°ÇÑ ¿îµ¿À» ÇÒ ¼ö°¡ ÀÖ½À´Ï´Ù.
¾î±ú °üÀý(°ß°üÀý)
¾î±ú °üÀýÀº ¿ì¸®¸ö ¿¡¼ °¡Àå ¿îµ¿ ¹üÀ§°¡ ³Ð°í, º´ÀÌ »ý±â¸é ´Ù¸¥ °üÀý¿¡ ºñÇØ ÅëÁõÀÌ ½ÉÇϰí, ¿ÊÀÔ°í ¹þ±â, ¸Ó¸®ºø±â, ÈÀå½Ç °¡±âµî ÀÏ»ó »ýȰ¿¡¼ ¸¹Àº ºÒÆíÇÔÀ» ÁÖ°Ô µË´Ï´Ù. ¶ÇÇÑ °ñ´Ù°øÁõÀÌ ½ÉÇÑ °æ¿ì ³Ñ¾îÁö°Å³ª ÇÏ¸é¼ ¾î±ú¸¦ ´ÙÄ¥ °æ¿ì »ó¿Ï°ñµÎ°¡ ¿©·¯ Á¶°¢À¸·Î Âɰ³Áö´Â °æ¿ì°¡ ÀÖ½À´Ï´Ù. ÀÌ °æ¿ì Á¤º¹À» ½ÃÇàÇÒ °æ¿ì »À°¡ À¯ÇÕµÇÁö ¾Ê°Å³ª °ñÆíÀÌ ±«»ç µÇ´Â °æ¿ì°¡ »ý±â°Ô µÇ¾î Àΰø°üÀý ¼ö¼úÀ» ÇÏ´Â °æ¿ìµµ ÀÖ½À´Ï´Ù.