½ÉÀåÁúȯ
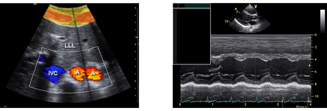
½ÉÇ÷°ü°è´Â ½ÉÀå°ú Àü½ÅÀÇ Å©°í ÀÛÀº Ç÷°üÀ¸·Î ±¸¼ºµÇ¸ç Ç÷¾×À» ÀÌ¿ëÇÏ¿© »ê¼Ò¿Í ¿µ¾çºÐÀ» °ø±ÞÇϰí ÀÌ»êÈź¼Ò¿Í ´ë»ç»ê¹°À» ȸ¼öÇÏ´Â ¿ªÇÒÀ» ÇÕ´Ï´Ù. ¿ì¸®³ª¶óÀÇ »ýȰȯ°æÀÌ ¼±¸È µÇ¸é¼ ºñ¸¸, ´ç´¢, °íÇ÷¾Ð, °íÁöÇ÷ÁõÀÌ ±ÞÁõÇϰí, ÀÌ·Î ÀÎÇÑ ½ÉÇ÷°ü°è ÁúȯÀÇ Áõ°¡°¡ »çȸ¹®Á¦·Î ¹®Á¦·Î ´ëµÎµÇ°í ÀÖ½À´Ï´Ù.
ÁÖµÈ Áø·á
¼Òȱâ Áúȯ
Áø·á½Ç¿¡¼ ¸¸³ª°Ô µÇ´Â ¸¹Àº ȯÀÚµéÀÌ ¼ÒȺҷ®, º¹Åë, ¼³»ç ±×¸®°í º¯ºñ µîÀÇ ¼Òȱâ Áõ»óÀ» È£¼ÒÇϸç, ½ÇÁ¦·Î ¿ì¸®³ª¶ó´Â À§¾ÏÀÇ ºóµµ³ª ¼Òȼº ±Ë¾çÀÇ ¿øÀαÕÀÎ Ç︮ÄÚ¹ÚÅÍÀÇ °¨¿°À²ÀÌ ¼¾ç ±¹°¡µéº¸´Ù ¿ùµîÀÌ ³ôÀº ³ª¶óÀÔ´Ï´Ù. ¼ÒȰ¡ ÁúȯÀº ±¸°ºÎÅÍ Ç×¹®±îÁö ¼Òȱâ´ÉÀ» ´ã´çÇÏ´Â ±â°üµé°ú °£, ´ã³¶, ÃéÀå µîÀ» Æ÷ÇÔÇÏ¸ç ¿©±â¿¡¼ ¹ß»ýÇÏ´Â ¸¹Àº Áúº´À» Áø´ÜÇϰí Ä¡·áÇϰí ÀÖ½À´Ï´Ù.
ÁÖµÈ Áø·á
È£Èí±â Áúȯ
¿ì¸®³ª¶ó´Â ¾ÆÁ÷µµ Æó°áÇÙÀÇ À¯º´À²°ú »ç¸Á·üÀÌ ³ô°í, Èí¿¬ ¹× °¢Á¾ ȯ°æÀÎÀÚÀÇ ¿µÇâÀ¸·Î Æó¾ÏÀÌ ±Þ°ÝÈ÷ Áõ°¡Çϰí ÀÖ½À´Ï´Ù. ´õºÒ¾î Èí¿¬, Àα¸°í·ÉÈ, ´ë±â¿À¿°, ÀÛ¾÷Àå³» ºÐÁø µîÀº ¸¸¼ºÆó¼â¼º ÆóÁúȯ, õ½Ä, ¾Ë·¯Áö¼º ºñ¿°ÀÇ Áõ°¡¸¦ À¯¹ßÇϰí ÀÖÀ¸¸ç Áö¿ª»çȸ Æó·Å, »ç½º, ½ÅÁ¾µ¶°¨, ¸Þ¸£½º µîÀº È£Èí±â ÁúȯÀÇ Á߿伺À» Àß ´ëº¯Çϰí ÀÖ½À´Ï´Ù.
ÁÖµÈ Áø·á
½ÅÀåÁúȯ
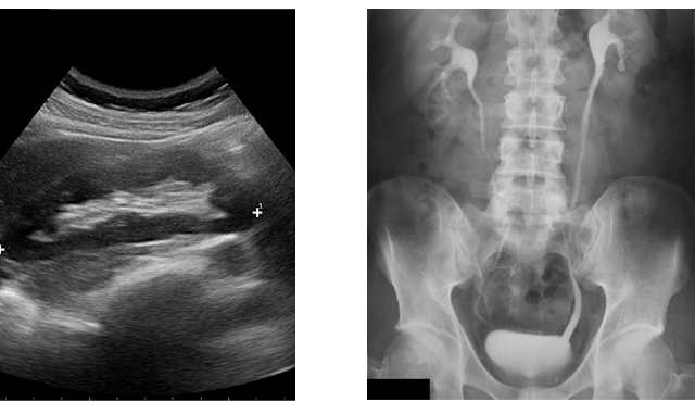
½ÅÀåÀÇ Áúȯ°ú ¿ä·Î°èÀÇ ÁúȯÀ» °¡Áö°í Àִ ȯÀÚµéÀº ÁÖ·Î ±Þ¹Ú´¢, ºó´¢, ¹è´¢Àå¾Ö µîÀ» È£¼ÒÇϰí Ç÷´¢, ´Ü¹é´¢, ºÎÁ¾, °íÇ÷¾Ð, ´ç´¢º´, ÀüÇØÁúÀÌ»ó, ¹ß¿ µîÀ» µ¿¹ÝÇÏ´Â °æ¿ì°¡ ¸¹½À´Ï´Ù. ÃÖ±Ù °íÇ÷¾Ð°ú ´ç´¢ ȯÀÚ°¡ Áõ°¡ Ãß¼¼À̰í, À̵é ÁúȯÀÇ ÇÕº´ÁõÀÎ ½ÅÀå±â´ÉÀÇ °¨¼Òµµ Áõ°¡ Ãß¼¼ÀÔ´Ï´Ù. ¶ÇÇÑ ÀæÀº ÁøÅëÁ¦ÀÇ ³²¿ëÀ̳ª CT Á¶¿µÁ¦ µîµµ ½Å±â´É ¾ÇÈ¿¡ ¿µÇâÀ» ÁÝ´Ï´Ù.
ÁÖµÈ Áø·á
³»ºÐºñ Áúȯ
³»ºÐºñ ÁúȯÀº È£¸£¸óÀ» ÅëÇÑ ¿ì¸® ¸öÀÇ ¿©·¯±â´ÉÀ» Á¶ÀýÇÏ´Â °úÁ¤¿¡¼ ¿À·ù·Î ¹ß»ýÇÕ´Ï´Ù. ´ë°³ Àü½ÅÀûÀ̸ç ȯÀÚµéÀº ÇÇ·Î, °¥Áõ, ºó¸Æ, üÁß°¨¼Ò, °íÇ÷¾Ð, °íÇ÷´ç, ºÎÁ¾µé ¸Å¿ì ´Ù¾çÇÑ Áõ»óÀ» ´À³¢°Ô µË´Ï´Ù.
ÁÖµÈ Áø·á
¼ºÀο¹¹æÁ¢Á¾
¿¹¹æÁ¢Á¾Àº º»Àΰú °¡Á·À» Àü¿°¼º ÁúȯÀ¸·ÎºÎÅÍ ÁöÄÑÁÝ´Ï´Ù.
ÁÖµÈ Áø·á